Un Hallazgo Revolucionario: Crean Tratamiento para Regenerar Dientes en Adultos
28 Jul. 2025
-
La nueva terapia promete hacer crecer dientes permanentes, marcando un antes y después en la odontología
Redacción / CAMBIO22
La nueva medicina regenerativa está demostrando que en el futuro la pérdida de los dientes no tiene por qué ser definitiva. Ya se está probando en humanos un fármaco que estimula el crecimiento natural de un tercer juego de dientes ocultos en nuestra boca que ha sido un éxito sus experimentos con animales. Ahora, otro equipo de investigadores ha encontrado la manera de crear un diente cultivado en laboratorio a partir de células del propio paciente que puede integrarse fácilmente en la mandíbula y funcionar como un diente natural.
El objetivo de la medicina regenerativa es aprovechar la propia biología humana para reparar o sustituir partes dañadas del cuerpo. En el caso de la odontología, el sueño de los dentistas es poder regenerar los dientes perdidos mediante bioingeniería sin tener que recurrir a materiales artificiales como implantes, empastes o prótesis dentales.
:format(jpg)/f.elconfidencial.com%2Foriginal%2Fe66%2F289%2Fc08%2Fe66289c084fdf531cdd061ecc6c5f611.jpg)
“Los empastes no son la mejor solución para reparar los dientes. Con el tiempo, debilitan la estructura dental, tienen una vida útil limitada y pueden provocar más caries o sensibilidad. Los implantes requieren una cirugía invasiva y una buena combinación de implantes y hueso alveolar. Ambas soluciones son artificiales y no restauran por completo la función natural del diente, lo que puede dar lugar a complicaciones a largo plazo”, explica Xuechen Zhang, investigador de la facultad de Odontología y Ciencias Orales y Craneofaciales del King’s College y uno de los autores del estudio que detalla este descubrimiento.
Del laboratorio a la boca
El estudio, realizado por investigadores del Kings College y del Imperial College, ambos en Londres, describe un elemento clave para recrear el proceso de desarrollo dental en el laboratorio: un material que permite a las células comunicarse entre ellas y hacer que una le dé instrucciones a otra para que se convierta en una célula dentaria.
“Desarrollamos este material en colaboración con el Imperial College para reproducir el entorno que rodea a las células en el cuerpo, conocido como matriz. Así, cuando introdujimos las células cultivadas, estas pudieron enviarse señales entre sí para iniciar el proceso de formación de los dientes”, explica Xuechen. “Los intentos anteriores habían fracasado, ya que todas las señales se enviaban de una sola vez. Este nuevo material libera señales lentamente a lo largo del tiempo, reproduciendo lo que ocurre en el cuerpo”.
:format(jpg)/f.elconfidencial.com%2Foriginal%2Fc03%2F333%2F27c%2Fc0333327c412948fda1837515cfe942d.jpg)
El equipo ya ha logrado desarrollar nuevos dientes en el laboratorio con esta técnica y ahora trabaja en distintas formas para integrarlo en la boca de los pacientes.
“Tenemos diferentes ideas para colocar los dientes dentro de la boca”, asegura Xuechen. “Podríamos trasplantar las células del diente joven en el lugar del diente que falta y dejar que crezcan dentro de la boca. Otra posibilidad es crear el diente completo en el laboratorio antes de colocarlo en la boca del paciente. Para ambas opciones, tenemos que empezar el proceso de desarrollo del diente muy pronto en el laboratorio”.
Adiós a los implantes y las caries
Esta investigación ofrece una nueva manera de reparar los dientes y una alternativa más sencilla, cómoda y natural a los implantes de titanio. Pero no es la única solución que ha encontrado la ciencia.
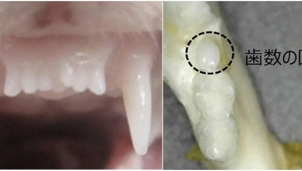
Investigadores del Hospital Universitario de Kioto y el Hospital Kitano de Osaka (Japón) iniciaron a finales del año pasado las pruebas clínicas con humanos para evaluar un nuevo medicamento capaz de regenerar dientes humanos.
:format(jpg)/f.elconfidencial.com%2Foriginal%2F4d2%2F13e%2F6db%2F4d213e6dbb140e57a68c9d00460e878a.jpg)
Los investigadores han descubierto la existencia de una proteína llamada USAG-1, que es la responsable de limitar el crecimiento de los dientes. El equipo ha logrado desarrollar unos anticuerpos capaces de bloquear la función de la proteína y permitir el crecimiento de un tercer juego de dientes, una capacidad que tenían nuestros ancestros y que hemos ido perdiendo con el tiempo.
El fármaco ha demostrado un éxito total y sin precedentes en animales y los investigadores lo han aplicado ahora a 30 personas de entre 30 y 64 años que han perdido al menos un molar. Durante 11 meses, los participantes recibirán el tratamiento por vía intravenosa con el objetivo de verificar si el medicamento puede inducir el crecimiento de nuevos dientes en seres humanos, replicando los espectaculares resultados obtenidos en animales.
Una vez confirmada la seguridad del medicamento en adultos, los investigadores tienen previsto ampliar las pruebas a niños de entre 2 y 7 años que padecen anodoncia, una condición congénita que impide el desarrollo normal de los dientes. “Los pacientes de anodoncia […] tienen problemas con habilidades básicas como masticar, tragar y hablar desde una edad temprana”, explican los investigadores. En esta fase, el equipo evaluará el impacto del medicamento en estos pacientes, con el objetivo de ofrecer un tratamiento comercial para 2030.
Fuente: El Confidencial
GPC/MER




















